Call Us On: 01754 879232
6 Lawn Avenue, Skegness, PE25 3QD
Book Appointment   Facebook Twitter Google+

Welcome to Mint Dental Care - your Friendly Dentist in Skegness


As a dental practice located in the heart of Skegness, we are a highly experienced team of dentists who are proud to be bring a fresh approach to dentisty in the form of friendly, caring and gentle dental care of the highest standard that our patients can rely on and trust.

Passionate about what we do, we aim to ensure that the children, teenagers and adults that we see each have the opportunity to benefit from healthy gums, fresh breath and a confident smile in an affordable, convenient and professional way.

We offer a Practice Membership Plan to help our valued patients manage their routine dental care through affordable monthly payments, convenient appointment times including evening and same day emergency appointments, and a wide range of professional General, Hygiene and Cosmetic dental treatments - including Teeth Whitening, All-Ceramic Crowns and Dental Implants.

Ask us for a Consultation

What our Patients Say About us

Dear Alicja, Krzysztof and all staff at Mint Dental Care - we would like to thank you all very much indeed for the highly professional oral care you have given us both over the last few months. We have always been greeted with a smile, seen at the appointed time and nothing seems to be too much trouble for you all. Many congratulations on being part of a successful team and we will not hesitate to recommend your practice to our friends and contacts. Once again, very many thanks.

Mike & Val

Patient Care is our Number One Priority

We have one key philosophy – to treat our patients as we would want to be treated ourselves. Going to the dentist shouldn’t have to be a daunting experience, and so at Mint Dental Care we promise to always take the time to help you feel relaxed and comfortable whilst in our care!

Central to everything we do is making sure we listen and respond to the questions and queries our patients have about their smile, and to fully explaining all options before we begin any treatment.

 

Let us Help you to Smile with Confidence

Many people are unhappy with their smile. You may feel embarrassed about your teeth or gums, hiding your smile behind your hand or turning away. Unhappiness with the way your smile looks can affect your self-confidence and even how you interact with people.

At Mint Dental Care we're committed to helping all of our patients achieve a smile to be proud of, the smile that you deserve. That's why we offer all of our patients a wide choice of Cosmetic Dental Treatments and a Smile Makeover Consultation - so that we may take the time to discuss your concerns, the best cosmetic dental treatments for your smile, and your finance options. 

 

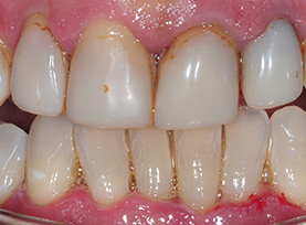
Before Treatment
Before treatment
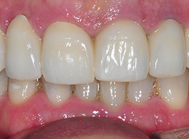
After Treatment
After treatment

See More

CQC
Opalescence Teeth Whitening
Nobel Biocare
#
Copyright 2026 Mint Dental Care | All Rights Reserved | Sitemap | Website Privacy Policy | Privacy Policy | Complaints Procedure |
Site last updated 31.05.2026