Call Us On: 01754 879232
6 Lawn Avenue, Skegness, PE25 3QD
Book Appointment   Facebook Twitter Google+

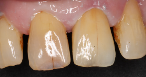
In the Spotlight: Broken Front Tooth


Take a look at the natural-looking smile transformation that we're proud to have provided one of our valued patients; Thomas. Thomas wanted a new tooth that matched his other teeth, as closely as possible, in shape and colour. Please click on the images below to enlarge them and to see them in closer detail:

CQC
Opalescence Teeth Whitening
Nobel Biocare
#
Copyright 2026 Mint Dental Care | All Rights Reserved | Sitemap | Website Privacy Policy | Privacy Policy | Complaints Procedure |
Site last updated 11.05.2026