Call Us On: 01754 879232
6 Lawn Avenue, Skegness, PE25 3QD
Book Appointment   Facebook Twitter Google+

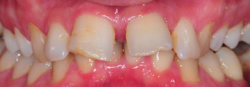
In the Spotlight: Smile Transformation


Take a look at the natural-looking smile transformation that we're proud to have provided another one of our valued patients; Michael. Please click on the images below to enlarge them and to see them in closer detail:

CQC
Opalescence Teeth Whitening
Nobel Biocare
#
Copyright 2026 Mint Dental Care | All Rights Reserved | Sitemap | Website Privacy Policy | Privacy Policy | Complaints Procedure |
Site last updated 11.05.2026